Investigations and screening

Details of the range of Tests and Procedures and how they are performed, are available below. (Click on the image to get a video description of the test or procedure.)


TESTS AND PROCEDURES


TESTS  

        
                                         

 

 

                                                  
ECG    24 HR BP or ECG monitor    Echocardiogram

 

   

                                                                                                                           
Implantable loop 
recorder 
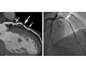
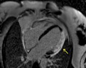
Exercise Treadmill CT coronary angiogram Cardiac MRI scan 
       

PROCEDURES

     

  

 

     

Implant Defibrillator

Implant Pacemaker

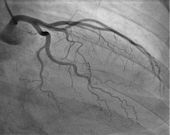
 Coronary Angiogram Angioplasty and Coronary stent   Transcatheter Aortic Valve 
Implantation
 

 Use the  Contact Us page or phone 07889 000608, to arrange an appointment.